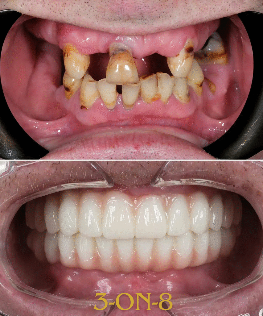
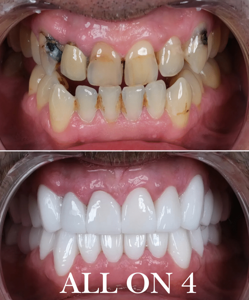
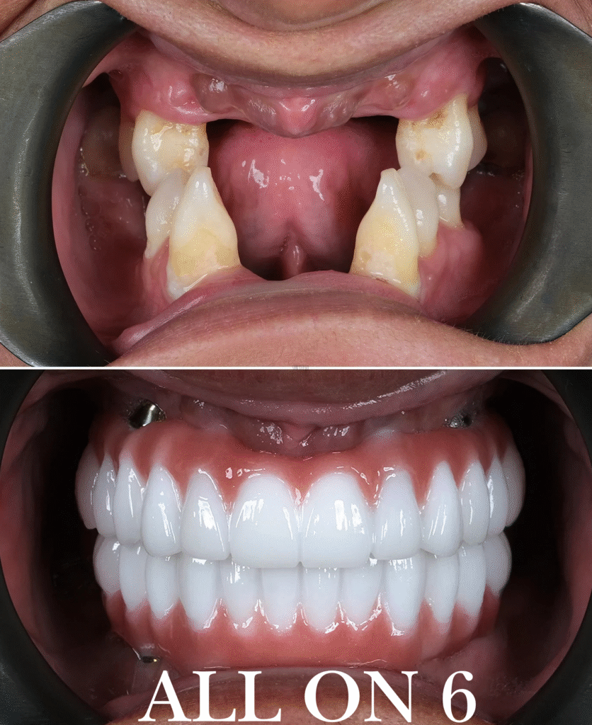
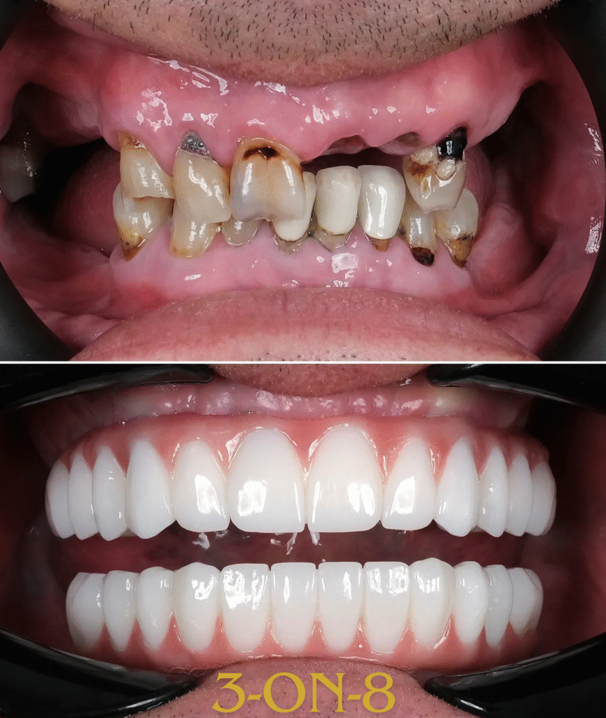
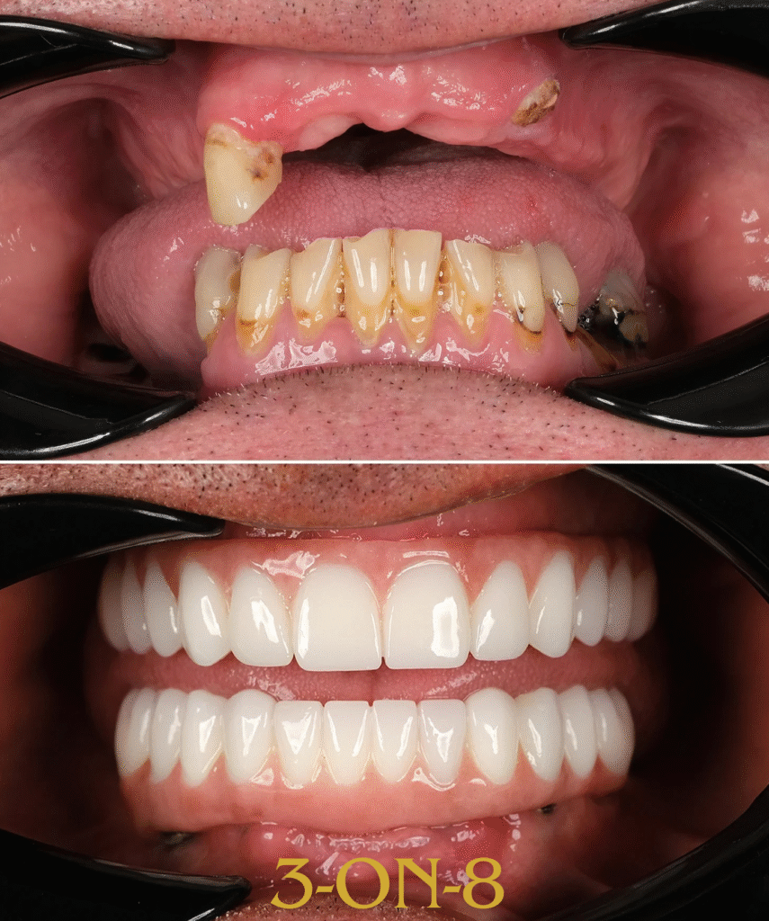
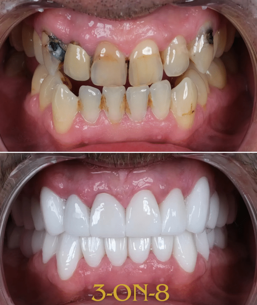
Smile Transformation

Befor and after photos of Full Mouth Restorations

3-ON-8





ALL-ON-4



ALL-ON-6